پست های مشابه

دکتر سمانه رازقی

اگر تخریب تاج دندان‌های آسیاب شیری زیاد باشد، ترمیم‌های معمول #آمالگام یا #کامپوزیت دوام زیادی در برابر نیروهای ناشی از جویدن در طولانی مدت نخواهند داشت. 💥 از آنجا که  این دندان‌ها در عقب دهان قرار گرفته‌اند، کمتر در معرض دید قرار می‌گیرند و بنابراین نگرانی کمتری از لحاظ زیبایی ایجاد می‌کنند. به دلایل بالا متخصصین #دندانپزشکی_کودکان #روکش‌_استنلس_استیل را برای ترمیم این دندان‌ها ترجیح می‌دهند. این روکش‌ها، بصورت آماده و در سایزها و شکل‌های مختلف موجودند و پوشش کاملی را برای دندان شیری ایجاد می‌کنند. پس از انجام بی‌حسی و برداشت کامل پوسیدگی‌ها و درصورت نیاز درمان ریشه دندان، روکش مناسب دندان انتخاب و در یک جلسه بر روی دندان چسبانده می‌شود. 💫🦷 نظر شما در مورد این نوع ترمیم چیه؟ در کامنت بنویسین. 😄🙏 #روکش_دندان_شیری #پوسیدگی_زودرس_دندان_شیری #ترمیم_دندان_شیری #sscrown #primary_tooth_restoration #early_childhood_caries _____________________________________ دکتر سمانه رازقی متخصص دندانپزشکی کودکان

30 مرداد 1400 15:38:23

15 بازدید

دکتر سمانه رازقی

اولین معاینه دندانپزشکی کودک باید قبل از #یکسالگی انجام بشه. اهمیت این مساله به این دلیله که دندونهای شیری به محض رویش ممکنه پوسیده بشن! معاینه بموقع کمک میکنه عوامل خطرساز مثل نوع #تغذیه_کودک و وضعیت #بهداشت_دهان_در_کودک_شیرخوار شناسایی و در جهت رفع اونها اقدام بشه. 😄 پیشگیری از پوسیدگی دندون، سخت نیست؛ قبول دارین؟ #اولین_معاینه_دندانپزشکی_کودک #شیرخوار #معاینه_دندانپزشکی_کودکان #شیر_شبانه_در_کودکان #معاینه_منظم_دندانپزشکی #first_dental_appointment #first_dental_visit #prevention_of_dental_caries #night_time_feeding #diet #infant

14 اردیبهشت 1401 15:46:11

64 بازدید

دکتر سمانه رازقی

میگن بچه‌ها در طول روز نزدیک چهارصد بار لبخند می‌زنن و آدم بزرگا حدود بیست بار ... . نمیدونم این مطلب چقدر صحیحه؛ اما بطور قطع، یک لبخند زیبا و سالم، تاثیر چشمگیری در عزت نفس و تصویر ذهنی کودک از خودش داره 😊🥰. کودک درون تون پر جنب و جوش و خوشحال ... 😍😊👶. #لبخند_زیبا #لبخند_سالم #سلامت_دهان_دندان_کودک #عزت_نفس #oral_health #children #self_steem #self_image #quality_of_life #confident_smile

11 خرداد 1400 15:43:11

3 بازدید

دکتر سمانه رازقی

۰ اینم از جایزه های خوشگلمون برای بچه های خوشگل و شجاعمون #دندان_شیری#دکتر_سمانه_رازقی #دندانپزشکی_کودکان#کودکان#اطفال#ساختمان_پزشکان_شفا#دانشیار#دندان_پزشکی#متخصص#دندان#دندانپزشکی_تهران #دانشگاه_تهران #هیات_علمی #جایزه#هدیه_کودکان #dr_samaneh_razeghi#dental_clinic#dentist#childs#baby_teeth#Pediatric_dentist#shafa_doctors_building#tehran#Iran#gift#vizard #dental_gift

06 اسفند 1399 15:33:04

5 بازدید

دکتر سمانه رازقی

چون که نمی‌خواست دندون‌هاشو نگاه کنیم 😁 به همین راحتی می‌گفت برو دندون‌هامو نشون‌ت نمیدم 😁 اما آخرش با یه آینه دندون مامان‌ش رو دیدم با اون یکی آینه دندون خودش رو 😎 البته یه کمی گریه هم داشتیم 🙃 بودن بچه‌های پر استرس تو بغل مامان یا بابا، بهشون آرامش بیشتری میده ممکنه همه چی عالی پیش نره، ولی همه تلاش‌مون رو می‌کنیم که کوچولوهامون با کمترین ناراحتی از پیش‌مون برن 😍😍😍 🔅 شخصا با حضور والدین در اتاق کار موافقم البته در شرایط خاص ممکنه ازشون خواهش کنم اتاق رو ترک کنن ✅ انجمن دندانپزشکی کودکان امریکا، استفاده از حضور یا عدم حضور والدین رو به عنوان یکی از تکنیک‌های جلب همکاری کودک (هدایت رفتاری) مطرح میکنه. خوب حالا بگین به نظرتون به آقا عباس اخمالو ولی شیرین جایزه بدیم یا نه؟؟ 😄 #همکاری_کودک_در_دندانپزشکی #حضور_والدین #درمان_موفق_دندانپزشکی #behaviour_guidance #parents_presence

30 شهریور 1400 15:41:07

35 بازدید

دکتر سمانه رازقی

درمان #فیشورسیلنت یا #شیارپوش یک روش پیشگیری بسیار موثر به منظور جلوگیری از ایجاد و پیشرفت پوسیدگی در سطح جونده دندان‌ به‌ویژه #دندان‌_دائمی جوان است. شیارهای سطح دندان با مواد رزینی مخصوص پوشانده می‌شوند، بنابراین خرده‌های مواد غذایی دیگر نمی‌توانند در عمق شیار جمع و سبب #پوسیدگی_دندان شوند. ⁉️ لطفا به این سوال هم پاسخ بدین: بعضی انواع فیشورسیلنت رنگی هستن؛ شما دوست دارین شیار دندون‌های خودتون یا کوچولوتون رنگی باشه؟؟ #فیشورسیلنت_تراپی #شیارپوش_دندان #دندان_دائمی #دندان_شیری #پیشگیری_از_پوسیدگی_دندان #دندانپزشکی_کودکان #fissuresealant #permanent_dentition #primary_teeth #prevention_strategies #children_oral_health

02 خرداد 1400 15:10:29

8 بازدید

سمانه رازقی

2

4

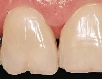
بعضی از افراد عادت دارن از دندون‌هاشون استفاده‌‌های دیگه‌ای ، به جز جویدن غذا😁، بکنن؛ مثل جدا کردن قطعات لگو، باز کردن بسته چیپس، باز کردن شیشه لاک ناخن، باز و بسته کردن بند ساعت، جدا کردن تگ قیمت لباس و ... این کارها میتونه به مینای دندان فشار و ضربه وارد کنه، لبه دندان‌ها رو دچار شکستگی و پریدگی کنه، و ترک‌هایی رو در مینای دندان ایجاد کنه که بعدها رنگ می‌گیرن و ظاهری نازیبا ایجاد می‌کنن (تصویر آخر).   شما چه عادات غلط مشابهی رو سراغ دارین؟ برامون بنویسین! 🙏😊 #استفاده_نامناسب_از_دندان #جویدن_ناخن #پریدگی_لبه_دندان #ترک_مینای_دندان #enamel_crack #chipped_enamel #inappropriateuseofteeth

02 آذر 1401 23:29:12

دختر من از دو سالگی تا الان به شدت ناخن هاش رو میجوه

mina

-1 پاسخ

14 اردیبهشت 1402 22:36:20

سعی کنید استرسش رو کم کنید و تشویقش کنید دستکش دست کنه تا از سرش بیفته و خوراکی هایی که به جویدن زیاد نیاز دارن مثل هویج بهش بدین بخوره و تقویتش کنید

شما میتوانید مطالب بیشتری از صفحات محتوایی و دیگر صفحات بامانو بخوانید

برای دسترسی نامحدود به مطالب و استفاده از امکانات دیگر اپلیکیشن بامانو مانند ساخت آلبوم خانوادگی، اپلیکیشن بامانو را نصب کنید. با عضو شدن شما از محتواهایی پشتیبانی میکنید که دوست دارید بیشتر از آن ها مطلع باشید

دکتر سمانه رازقی

سمانه رازقی

2

4

بعضی از افراد عادت دارن از دندون‌هاشون استفاده‌‌های دیگه‌ای ، به جز جویدن غذا😁، بکنن؛ مثل جدا کردن قطعات لگو، باز کردن بسته چیپس، باز کردن شیشه لاک ناخن، باز و بسته کردن بند ساعت، جدا کردن تگ قیمت لباس و ... این کارها میتونه به مینای دندان فشار و ضربه وارد کنه، لبه دندان‌ها رو دچار شکستگی و پریدگی کنه، و ترک‌هایی رو در مینای دندان ایجاد کنه که بعدها رنگ می‌گیرن و ظاهری نازیبا ایجاد می‌کنن (تصویر آخر).   شما چه عادات غلط مشابهی رو سراغ دارین؟ برامون بنویسین! 🙏😊 #استفاده_نامناسب_از_دندان #جویدن_ناخن #پریدگی_لبه_دندان #ترک_مینای_دندان #enamel_crack #chipped_enamel #inappropriateuseofteeth

دختر من از دو سالگی تا الان به شدت ناخن هاش رو میجوه mina

02 آذر 1401 23:29:12

-1 پاسخ

سعی کنید استرسش رو کم کنید و تشویقش کنید دستکش دست کنه تا از سرش بیفته و خوراکی هایی که به جویدن زیاد نیاز دارن مثل هویج بهش بدین بخوره و تقویتش کنید

14 اردیبهشت 1402 22:36:20

شما میتوانید مطالب بیشتری از صفحات محتوایی و دیگر صفحات بامانو بخوانید

برای دسترسی نامحدود به مطالب و استفاده از امکانات دیگر اپلیکیشن بامانو مانند ساخت آلبوم خانوادگی، اپلیکیشن بامانو را نصب کنید. با عضو شدن شما از محتواهایی پشتیبانی میکنید که دوست دارید بیشتر از آن ها مطلع باشید

پست های مشابه

برو به اپلیکیشن