پست های مشابه

دکتر جباریان

. اولين دندان آسياي دائمي كودك در سن ٧-٦ سالگي رويش مي يابد، مثل يك پس انداز طولاني مدت با آن رفتار كنيم! First permanent molar erupts at the age of 6-7 years. Treat it like a long-term saving! #دندانپزشك_كودك_خود_باشيم #دندان_دائمي #دندانپزشكي_كودكان #سلامتي #prevention

02 اردیبهشت 1399 15:34:15

2 بازدید

دکتر جباریان

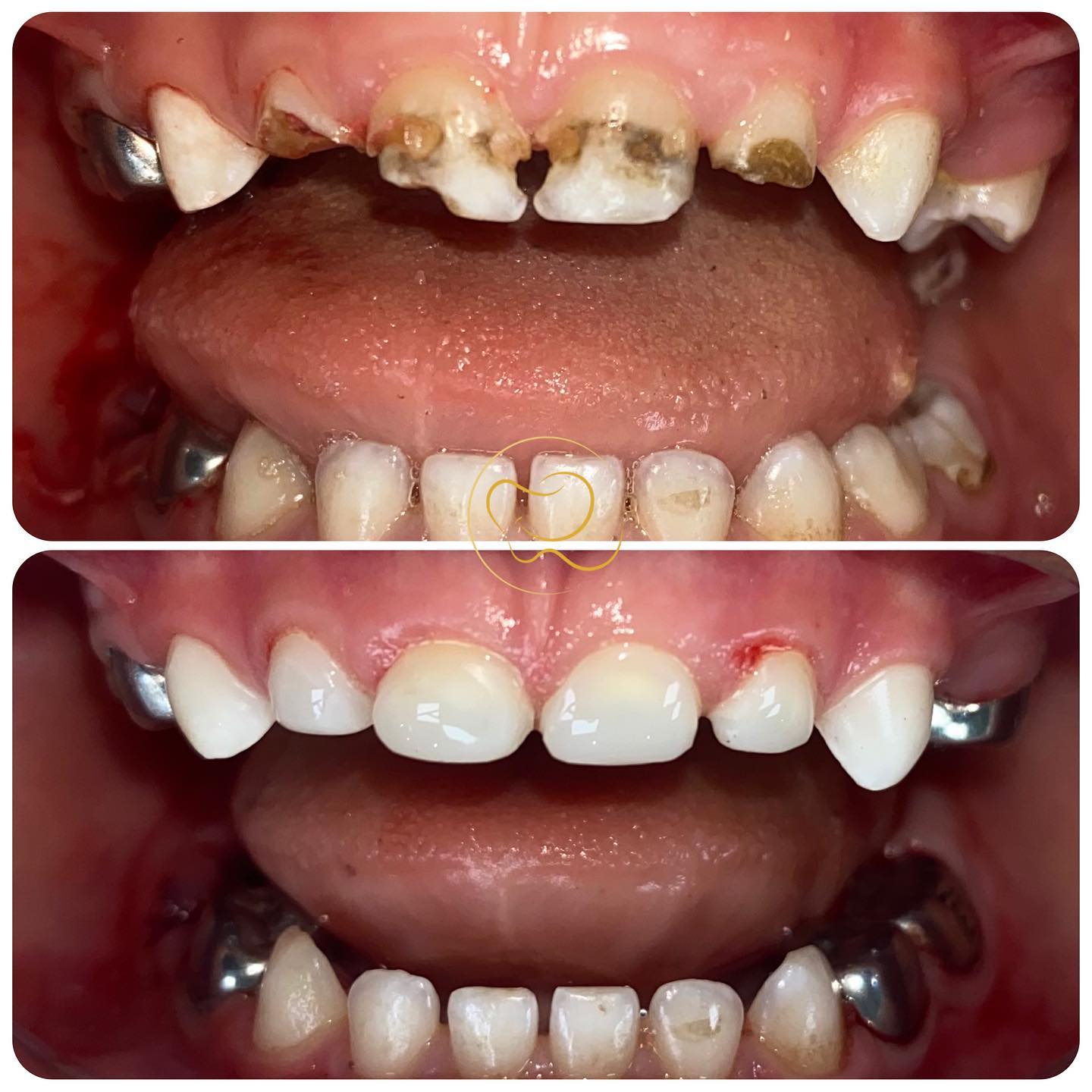
✨ علی قشنگم چشماشو بست و خوابید وقتی بیدار شد لبخندش دوست‌داشتنی‌تر شده بود. کاش میشد ما هم به همین راحتی چشمامونو ببندیم و وقتی باز کردیم ببینیم همه بچه‌های دنیا بدون ناراحتی و بیماری، دارن از ته دل میخندن..🧒👼 البته بیلدآپ دندونهای قدامی شیری تحت بیهوشی به این راحتی‌ها هم نیست و نیاز به رعایت چندین نکته تکنیکی داره که علاوه بر زیبایی، ماندگاری بلندمدت ترمیمهارو تامین کنه😉 #دندانپزشکی_کودکان #لبخند #کودک #دندانپزشکی

23 دی 1400 16:12:54

10 بازدید

دکتر جباریان

. دنتینوژنزیس ایمپرفکتا یک اختلال ارثی عاج ه که نمای شیشه ای و opalescent زرد-قهوه ای آبی-خاکستری به دندون میده. در مواجهه با این کودکان چه کار کنیم؟ اول- اختلال رو تشخیص بدیم، بنظرم مهمترین گام در تشخیص اینه که احتمال بدیم ممکنه بیمارامون به این اختلالات مبتلا باشن دوم- وجود اختلال استخوانی همراه را رد کنیم سوم- در اولین فرصت باید دندونها قبل تخریب بصورت پیشگیرانه ترمیم و روکش بشن چهارم- پیشگیری، پیشگیری، پیشگیری. نباید اجازه بدیم پوسیدگی روی اختلال زمینه ای سوار بشه. چون دخترم هنوز کمتر از دو سالش هست، ترجیح دادیم برای درمان دندانپزشکی صبر کنیم. درمان پیشگیرانه قوی و منظمی در پیش گرفتیم و خوشبختانه طی دوره فالوآپ از دست رفتن ساختار دندونها فقط در حد تخریب ابتدایی متوقف شد. #دندانپزشکی_کودکان #pediatric_dentistry #dentinogenesis_imperfecta .

08 فروردین 1400 17:08:34

2 بازدید

دکتر جباریان

💤🍶 شير خوردن قبل از خواب نه تنها كمكي به سلامت دندونهاي فرزندمون نميكنه، بلكه تهديد مهمي براي دندونها محسوب ميشه. . . #شير #دندانپزشك_كودك_خود_باشيم#دندانپزشكي_كودكان #bedtime_milk . .

09 آبان 1399 13:40:31

1 بازدید

دکتر جباریان

17 فروردین 1399 18:21:20

1 بازدید

دکتر جباریان

📚 با یاری خداوند جلد دوم ترجمه کتاب مرجع ارزشمند مک‌دونالد هم منتشر شد. در طول این سالیان که افتخار ترجمه کتابهای تراز اول مرجع دندانپزشکی کودکان دنیا در محضر استاد بزرگوارم جناب آقای دکتر سراج را داشتیم، دریافته‌ام که یک روح برتر در ترجمه متون تخصصی حکم‌فرماست که فراتر از ترجمه و امانتداری به کتاب مبدا، جملات را به‌گونه‌ای در زبان مقصد خودی و ساده‌نویسی می‌کند که مخاطب جویای دانش با کمترین زحمت به چشمه اصلی دست یابد. اگر بخواهم با زبان کیفیت -و نه افراد- صحبت کنم، آرزو داشتم که در دوران دانشجویی به ترجمه‌هایی با این سطح دسترسی داشتیم و در حال حاضر این آرزو را تقدیم تمام دانشجویان دندانپزشکی و دستیاران تخصصی دندانپزشکی کودکان می‌نماییم. #مرجع_دندانپزشکی_کودکان #دندانپزشکی_کودکان #مکدونالد

26 مرداد 1401 17:45:17

2 بازدید

دکتر راضیه جباریان

0

0

. دندان هاي شيري پوسيده كودك نياز به درمان دارند؛ در غير اينصورت، مخاطرات سيستم دنداني و سلامت كلي كودك اجتناب ناپذير است. يكي از مصاديق كودك آزاري، غفلت از سلامت دنداني كودك و عدم درمان دندان هاي پوسيده و علامت دار اين فرشته هاي معصوم است. . ساخت پلاك توسط جناب سعدي زاد توانا و هنرمند @dt.meysam.sadizad . . #كيست_دنداني #عفونت #سلامتي ‏#child_abuse #neglect #dentigetous_cyst

شما میتوانید مطالب بیشتری از صفحات محتوایی و دیگر صفحات بامانو بخوانید

برای دسترسی نامحدود به مطالب و استفاده از امکانات دیگر اپلیکیشن بامانو مانند ساخت آلبوم خانوادگی، اپلیکیشن بامانو را نصب کنید. با عضو شدن شما از محتواهایی پشتیبانی میکنید که دوست دارید بیشتر از آن ها مطلع باشید

دکتر جباریان

دکتر راضیه جباریان

0

0

. دندان هاي شيري پوسيده كودك نياز به درمان دارند؛ در غير اينصورت، مخاطرات سيستم دنداني و سلامت كلي كودك اجتناب ناپذير است. يكي از مصاديق كودك آزاري، غفلت از سلامت دنداني كودك و عدم درمان دندان هاي پوسيده و علامت دار اين فرشته هاي معصوم است. . ساخت پلاك توسط جناب سعدي زاد توانا و هنرمند @dt.meysam.sadizad . . #كيست_دنداني #عفونت #سلامتي ‏#child_abuse #neglect #dentigetous_cyst

شما میتوانید مطالب بیشتری از صفحات محتوایی و دیگر صفحات بامانو بخوانید

برای دسترسی نامحدود به مطالب و استفاده از امکانات دیگر اپلیکیشن بامانو مانند ساخت آلبوم خانوادگی، اپلیکیشن بامانو را نصب کنید. با عضو شدن شما از محتواهایی پشتیبانی میکنید که دوست دارید بیشتر از آن ها مطلع باشید

پست های مشابه

برو به اپلیکیشن